Donna con due uteri ha partorito due gemelli, uno da ogni utero, il didelfo uterino in 1 donna su 2.000 - Blitzquotidiano.it (foto Ansa)
Una donna con due uteri ha partorito due gemelli, uno da ogni utero, il mese scorso in un ospedale nella Cina nord-occidentale, secondo funzionari sanitari e media statali. Si tratta di ua condizione molto rara .
La madre, identificata solo dal suo cognome Li, ha dato alla luce un maschio e una femmina tramite taglio cesareo, nell’ospedale di Xi’an nella provincia dello Shaanxi, definendolo un evento “una su un milione”.
“È estremamente raro che due gemelli vengano concepiti naturalmente in ciascuna cavità dell’utero, e ancora più raro che vengano portati a termine”, ha affermato l’ospedale sul suo account ufficiale sulla piattaforma di social media cinese simile a X Weibo.
Secondo l’ospedale, la neomamma è nata con due cervici e due uteri, una condizione chiamata didelfo uterino riscontrata in circa 1 donna su 2.000.
Una donna su 2 mila

La sua storia ha conquistato i social media cinesi ed è diventata un argomento di tendenza, con oltre 50 milioni di visualizzazioni negli ultimi giorni, molti utenti hanno condiviso messaggi di stupore.
“È un miracolo!” ha scritto un utente, mentre un altro ha detto “Quanto è fortunata!”. Alcuni hanno espresso preoccupazione per la madre, un utente ha scritto “deve essere stato duro e pericoloso per lei!”
La storia di Li sembrava mostrare un esito felice dopo aver affrontato tali circostanze, con l’ospedale che ha rivelato che aveva avuto un aborto spontaneo in una precedente gravidanza.
Di nuovo incinta
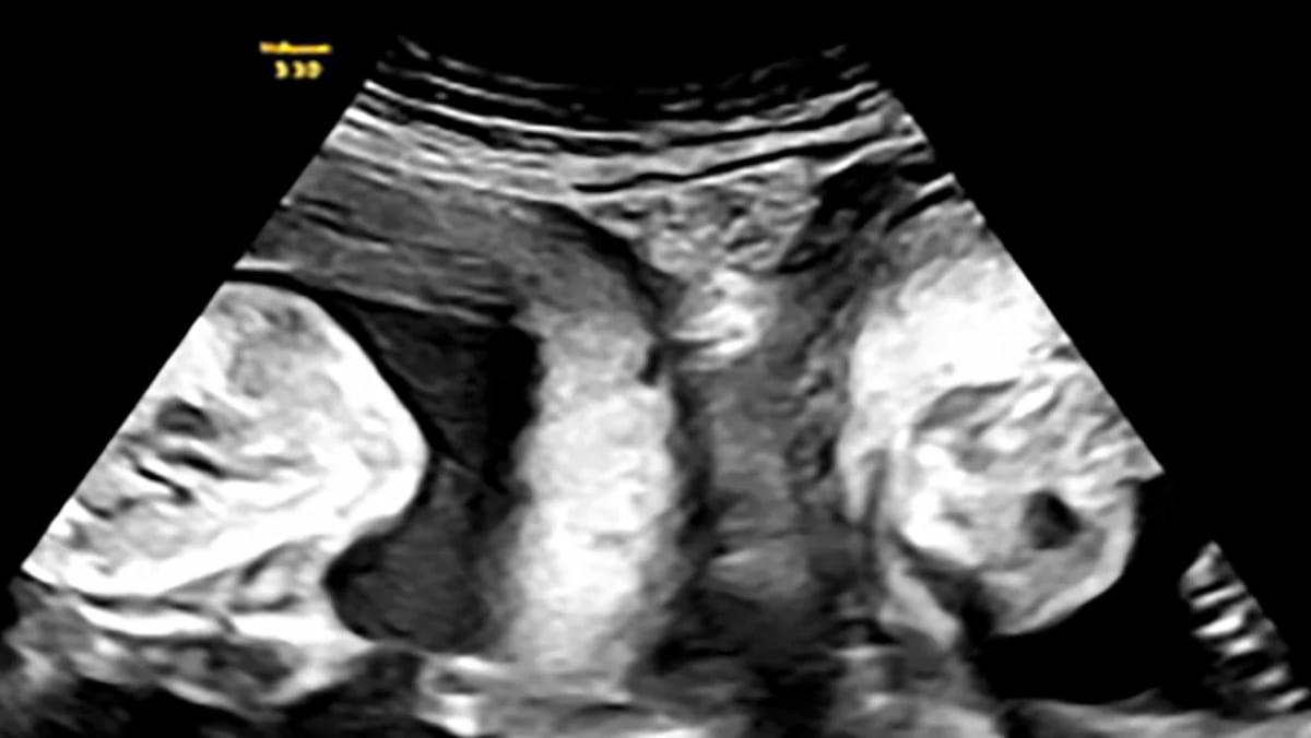
Ma a gennaio, Li è rimasta di nuovo incinta e ha scoperto durante un’ecografia precoce che non aspettava solo un bambino, ma due gemelli, uno in ogni utero.
Dopo un monitoraggio medico “attento e rigoroso”, ha dato alla luce “con successo” un maschio di 3,940 chili e una femmina di 2,340 chili, ha affermato l’ospedale.
